Тамхи гэж юу вэ...

Автор | Zindaa.mn
2011 оны 12 сарын 05
-Татах буюу үнэрлэж хэрэглэхэд зориулсан, никотин агуулсан сэтгэц идэвхт бодис юм.

Нөгөөтэйгүүр:

-Сэтгэцэд сэргээж, мансууруулах нөлөө үзүүлэн, улмаар донтуулах чадвар бүхий никотин хэмээх бодис агуулсан ургамлын гаралтай хэрэглээний бүтээгдэхүүнийг хэлнэ.

Тамхинд 4000 гаруй төрлийн химийн нэгдэл байдгийн дотор хүнийг маш хүчтэй донтуулдаг никотин болон хорт хавдар үүсгэдэг 43 төрлийн хорт бодис агуулагддаг байна. Эрдэмтэд бүр 1920-иод оноос тамхи таталт хорт хавдартай холбоотой байна гэдгийг олж тогтоосон. Тамхины гол найрлага нь “tobacco” хэмээх бодис байдаг бөгөөд үүнийг өөр олон төрлийн бодистой нийлүүлэн үнэр оруулан янжуур үйлдвэрлэдэг. Асаасан /шатаасан/ янжуурын утаа уушгинд сорогдсоны дараа мэдрэлийн эсээр дамжин тархинд “dopamine”, “endorphine” хэмээх бодисууд ялгарч хүний биед тайвшруулах нөлөө үзүүлдэг. Хар тамхи хэрэглэх үед мөн эдгээр бодисууд бүр их хэмжээгээр ялгардаг байна.

Тамхинд донтох нь ОУ-ын 10-р ангилалд багтсан биеэ даасан өвчин төдийгүй, энэ өвчин нь бусад олон өвчнийг үүсгэх эрсдэлт хүчин зүйл болдог байна.

Тоо баримтаас:

Ойролцоогоор дэлхийн насанд хүрсэн хүн амын 1/3 буюу 1.1 миллиард хүн тамхи татдаг. Хөгжиж буй орнуудын эр-48%, эм-7%, хөгжингүй орнуудын эр-42%, эм-24% нь тамхи татдаг байна.

-Тамхинаас үүдэлтэй өвчнөөр жил бүр 5,4 сая хүн нас барж байна.

-2030 он гэхэд энэ тоо 10 сая хүрэх төлөвтэй байна.

-Өнгөрсөн зуунд 100 сая хүн тамхины хор хөнөөлөөс болж нас барсан бол энэ зуунд 1 тэрбум хүрнэ гэж тооцоолж байна.

-Эдгээр нас баралтын 3/4 нь бага болон дунд орлоготой орнуудад тохиолдох магадлалтай.

-Энэ нь сүрьеэ, ДОХ-оор нас барж буй хүмүүсийн тооноос хэд дахин давсан. Ийм төрлийн өвчлөлийн дийлэнхийг уушигны хавдар, зүрх судас, амьсгалын замын өвчлөлүүд эзэлж байна.

-Тамхины үйлдвэрлэлийн жилийн ашиг нь тамхины хяналтанд зарцуулж байгаа санхүүжилттэй харьцуулахад 500 дахин их байна.

-Хөгжиж буй орнуудад тамхины үйлдвэрлэлээс улсад төлж байгаа жилийн татварын хэмжээ 66,5 сая  тэрбум  ам.долларт хүрч байна.

-Гэтэл хөгжиж буй орнуудад тамхины хяналтын үйл ажиллагаанд жилд зөвхөн 14 сая ам.доллар зарцуулагдаж байгаа буюу ашгийн 5000 ам.доллар тутамд нэг ам.доллар л тамхины хяналтанд зарцуулагдаж байна.

-Тамхины зар сурталчилгаанд хориг тавьсны 10 жилийн дараагийн байдлыг авч үзвэл дэлхийн хэмжээнд зар сурталчилгаанд бүрэн хориг тавьсан 14 орон, хориг тавиагүй 78 орон байна.

Тамхины татварын хэмжээ: 

-Буурай хөгжилтэй орнуудад – 7%
-Хөгжиж буй орнуудад – 28%
-Өндөр хөгжилтэй орнуудад – 205% байдаг ба харин тамхины хяналтанд зарцуулж байгаа хувь нь буурай хөгжилтэй оронд 0,001%, хөгжиж буй оронд 0,005%, өндөр хөгжилтэй орнуудад 1% байдаг байна.

Монгол Улс дахь тамхины хэрэглээ:   

-2003 оны байдлаар Улаанбаатар хотын насанд хүрсэн хүн амын 47% (эр-65%, эм-21%) нь тамхи татаж байгаа нь дэлхийд тамхины хэрэглээгээр тэргүүлэх 10 орны нэг болж байна. Тогтмол тамхи татдаг эрэгтэйчүүд (43.1%) эмэгтэйчүүдээс (4.1%) 10 дахин их байна. Судалгаанд хамрагдсан өсвөр үеийнхний 15.2% нь тамхи татдаг бөгөөд тэдний ихэнх нь 13-15 насандаа тамхи татаж эхэлсэн байна. Судалгаанд хамрагдсан хүүхдүүдийн 64% нь тамхитай орчинд амьдардаг гэжээ. Хэрэв гэр бүлд: нэг хүн тамхи татдаг бол хүүхэд 68,3%, хоёр хүн тамхи татдаг бол хүүхэд 98,6% амьсгалын замын өвчлөлд өртөх эрсдэлтэй байдаг байна.

-Харин 2009 оны “Халдварт бус өвчин, осол гэмтлийн шалтгаан, эрсдэлт хүчин зүйлсийн тархалтын түвшин тогтоох судалгаа”-нд хамрагдсан Монголын нийт хүн амын 27,7%, үүнээс эрэгтэйчүүдийн 48%, эмэгтэйчүүдийн 6,9% нь тамхи татдаг болохыг тогтоосон байна.

Манай улсад Тамхины хяналтын чиглэлээр, хүн амын эрүүл мэндийг тамхины хор хөнөөлөөс хамгаалах, дам тамхидалтаас сэргийлэх талаар мөрдөгдөж байгаа хууль эрх зүйн баримтуудаас……  

-ДЭМБ-ын Тамхины хяналтын суурь конвенц 2003 онд батлагдсан./Энэхүү конвенцид 168 улс, орон гарын үсэг зурж, 150 гаруй улс, орон оролцогч талууд болоод байна./
-Монгол Улс Тамхины хяналтын суурь конвенцид 2003 оны 10-р сарын 24-нд гарын үсэг зурсан байна.
-Тамхины хяналтын тухай МУ-ын хууль
-Тамхины хяналтын тухай МУ-ын хуулинд 2005 оны 7 сарын 1-нд ТХСК-ын зарчмыг үндэслэн нэмэлт, өөрчлөлт оруулсан.
ДЭМБ-ын Тамхины хэрэглээг бууруулах, тамхины хор хөнөөлийг багасгах 6 стратеги буюу MPOWER-ыг 2008 онд баталсан байна.
-Нийгмийн эрүүл мэндийн талаар төрөөс баримтлах бодлого /УИХ-ын 2001 оны 81-р тогтоол/
-“Халдварт бус өвчнөөс сэргийлэх, хянах” үндэсний хөтөлбөр /МУЗГ-ын 2005 оны 246-р тогтоол/
“Халдварт бус өвчнөөс сэргийлэх, хянах” Нийслэлийн дэд хөтөлбөр /НИТХТ-ийн 2006 оны 265-р тогтоол/
-“Эрүүл мэндийг дэмжих сан” /ЗГ-ын 2007 оны 92-р тогтоол/
-НИТХТ-ийн “Тамхигүй орчин бүрдүүлсэн ресторан”  шалгаруулах тухай 2008 оны 102-р тогтоол
-НЗД-ын “Тамхигүй орчин бүрдүүлсэн ажлын байр хөдөлгөөн өрнүүлэх тухай” 2010 оны 362-р захирамж
-НЭМГ-ын даргын “Тамхигүй ажлын байр бий болгох” 2011 оны 1а/31-р тушаалууд зэргийг баримтлан ажиллаж байна.

Дам (идэвхгүй) тамхидалт:

Тамхи татдаггүй хүн тамхичин хүний татсан тамхины утаагаар амьсгалахыг дам /идэвхгүй/ тамхидалт гэнэ.

-Татаж буй тамхины утааны 20 хувь нь эзнийхээ уушгинд үлдэж, үлдсэн 80 хувь нь орчны агаарт дэгдэн өөрийгөө болон эргэн тойрны хүнийг хордуулдаг.
-Тамхичинтай хамт амьдарч байгаа болон хамт ажиллаж байгаа хүмүүс төдийгүй ресторан, баар, үзвэр үйлчилгээний газар, нийтийн тээврийн хэрэгсэл зэрэг олон нийтэд үйлчилдэг газруудад хүмүүс дам тамхидалданд илүү их өртдөг.
-Манай улсад 1998 онд хийсэн судалгаагаар нийт гэр бүлийн 60%-д дор хаяж нэг тамхи татдаг хүн байгаа нь тэдгээр гэр бүлийн бусад гишүүд дам тамхидалтад өртөж байгааг харуулж байна.
-Дам тамхидалтыг тооцоолох нь маш хүндрэлтэй.
-Нэг ширхэг янжуур хүний насыг дунджаар 5,5 минутаар богиносгодог байна.
-Өдөр болгон нэг хайрцаг тамхи татдаг хүний уушгинд нэг жилийн хугацаанд нэг л бохь хуримтлагддаг.
-Тамхины утаатай өрөөнд нэг цагийн турш байгаа хүн 15 ширхэг тамхи татсантай тэнцэхүйц хэмжээний  хавдар үүсгэгч бодисуудаар амьсгалдаг.
-Өөрөөр хэлбэл, манай гарагийн хаа нэгтээ 10 секунд тутамд хэн нэгнийг маань тамхи гээч хар үхэл авч одож байна.
-Жилд ойролцоогоор 130 сая хүүхэд төрж байгаагийн 50 сая нь идэвхгүй тамхичид болж байна.

Идэвхгүй тамхидалтад өртсөнөөр:

-Нярай хүүхдийн гэнэтийн нас баралт тамхичин эхээс төрсөн хүүхдэд тав дахин илүү тохиолддог бөгөөд хорт хавдраар өвчлөх нөхцлийг бий болгодог.
-Жирэмсэн үед ургийн өсөлт зогсох, жин багатай, амьдрах чадвар муутай, эрхтэн системийн согогтой хүүхэд төрөх, дутуу, эсвэл амьгүй хүүхэд төрөх, ураг эндэхэд хүргэдэг байна.
Эцэг, эхийн тамхины утаанд өртсөн хүүхдүүдийн 50-100% нь дунд чихний үрэвсэл, гуурсан хоолойн үрэвсэл, багтраа, уушгины үрэвсэл, хатгаа өвчинд илүү өртөх, тархины цусан хангамжийн дутагдал, хүчилтөрөгчийн дутагдалд орох, хүүхдийн сурлага хүмүүжилд муугаар нөлөөлдөг байна.
-Охид, эмэгтэйчүүдийн сарын тэмдэг өвдөлттэй ирэх, мөчлөг нь алдагдах буюу бүр хаагдах
-Эрэгтэйчүүдэд түрүү булчирхайн үрэвсэл, бэлгийн сулрал, үргүйдэл үүсгэнэ.
-Гэр ахуйн аймшигт гал түймэр гарахын шалтгаан болдог.
-Нүд хорсох, нулимс гоожих,
-Уушгины багтраа, архаг бронхит, ханиад зэрэг амьсгалын замын өвчнүүд болон янз бүрийн харшил үүсэхэд нөлөөлдөг.

Идэвхгүй тамхидалтаас яаж сэргийлэх вэ?    

- Өрөөндөө тамхи татуулахгүй байх
- Ариун цэврийн өрөөнд тамхи татуулахгүй байх
- Хүүхдийн дэргэд тамхи татуулахгүй байх
- Гэртээ тамхи татуулахгүй байх
- Зоогийн газар, бааранд тамхи татдаггүй хэсэг байгаа эсэхийг лавлаж, тамхигүй суудалд суух
- Дэргэдээ тамхи татуулахгүй байх шаардлагыг эелдгээр хэлж сурах
- Тамхи татаж буй хүний дэргэд очихгүй байх

Тамхи бидний эрүүл мэндэд хэр хортой вэ?   

-Төв мэдрэлийн системд хүчтэй нөлөөлдөг. (тамхины утааг сороход никотин нь уушигнаас цусаар дамжин долоон сек хүрэхгүй хугацаанд тархи болон бусад амин чухал эрхтнүүдэд хүрдэг)
-Бага тунгаар: идэвхжүүлэх, сэргээх, тайвшруулах (тамхичид мансуурах)
-Өндөр тунгаар: нейротрансмитерыг саатуулж үхүүлэх (Хортон шавьж устгах)
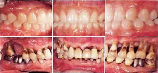
-Олон жил тамхи татсаны эцэст та шарласан шүдтэй болох, шүд унах нь 1-1.5 дахин их, шүд сулрах ба буйлны үрэвсэл
-Нүүрний гүн үрчлээ үүсэх, үсний өнгө өлдөх, үс унах, арьс хуурайших, уян хатан чанар алдагдах, арьсны цусан хангамж алдагдах, дуу хоолой сөөнгө,
-Хумс хуурайших, хугарамтгай болох, өнгөө алдах, хумсанд тамхины бохины шар толбо үүсэх,
-Нүдний өвчнөөр тамхи татдаггүй хүмүүсээс 40% илүү өвчилдөг. Нүд хорсох, нүд анивчих, нулимс гоожих, нүдний болор цайх, сохрох
-Тамхи татсаны улмаас судас хатуурч дотор чихэнд очих цусан хангамжийн хэмжээ багасч, сонсох чадвар алдагддаг. Тамхи татдаггүй хүмүүстэй харьцуулахад тамхичдад чихний үрэвсэлт өвчнөөс шалтгаалан үүссэн дүлийрэлт нь архаг явцтай, удаан үргэлжилдэг.
-Цээж хэржигнэх, дархлалын тогтолцоо гэмтдэг. Эрчүүд бэлгийн чадавхаа алдана.
-Эмэгтэйчүүдэд жирэмсний болон төрөлтийн хүндрэл гарах, охид, эмэгтэйчүүдийн сарын тэмдэг өвдөлттэй ирэх, мөчлөг нь алдагдах буюу бүр хаагдах, аяндаа үр зулбах, умайн гадуурх жирэмслэлт, үргүйдэлд хүргэх аюултай.
-Судасны ханын хатуурал, зүрхний шигдээс, харвалт, чихрийн шижин өвчин, захын судасны болон доод мөчний мэдээгүйжих өвчин үүсэх гол хүчин зүйл зэрэг 40 гаруй өвчний эрсдэлт хүчин зүйл болдог байна.
-Бүх уушигны хорт хавдрын 90%, архаг бронхит, уушигны тэлэгдэлтийн 75%, зүрхний цус хомсдлын 5%-ийг эзэлж байна. Мөн хамрын хорт хавдар, хэл, амны хөндий, шүлсний булчирхай, уруул, цагаан мөгөөрсөн хоолойн хорт хавдрууд, улаан хоолойн хорт хавдар, залгиурын хорт хавдар, төвөнхийн хорт хавдар, ходоодны хорт хавдар, бөөрний хорт хавдар, нойр булчирхайн хорт хавдар, шулуун гэдэсний хорт хавдар, хошногоны амсрын хорт хавдар, элэгний хорт хавдар, умайн хүзүүний хорт хавдар зэрэг 40 гаруй өвчнөөр өвчлөх эрсдэл өндөр байна.

 

Тамхинаас гарах арга барилууд:

Тамхи татаж сурсан хүн химийн бодисын хамааралтай болчихсон байдагт байдаг. Никотин нь тархины допамин гэдэг шүүрлийг идэвхжүүлснээс хүмүүс тамхи татах дуртай байдаг бөгөөд энэ нь элдэв өвчинд амархан нэрвэгдэх үндэс болдог. Мөн нэгэнт тогтсон зуршлаа солих нь бие организмд тун таагvй нөлөө үзүүлдэг байна. Иймээс л олонх хүмүүс тамхиа хаяж чаддаггүй аж. Мөн тамхи татвал турдаг гэсэн буруу ойлголтоос болж ялангуяа, эмэгтэйчvvд тамхи их татдаг. Тамхи нь биеийг хордуулж хоол идэх дурыг дардагт л тамхи татдаг эмэгтэйчүүдийн турдаг нууц байдаг.

•Тамхи, тамхинд донтох өвчний тухай боловсрол олгох
•Тамхийг шууд хаях
•Зуршлаа бага багаар өөрчлөх:      

- өөртөө хяналт тавих
- өөрийгөө удирдах
- бусдын дэмжлэг тусламж
- нийгмийн дэмжлэг
•Никотин орлуулах эмчилгээ:          

– никотинтэй наалт
- никотинтэй бохь
•Дур хүсэл бууруулах эм бэлдмэл:  

– цацдаг, үнэртдэг аэрозолууд
- ургамлын гаралтай бэлдмэлүүд, тан
•Зүү эмчилгээ
•Гипноз эмчилгээ
•Хувьчилсан сэтгэлзүйн эмчилгээ
•Бүлгийн сэтгэлзүйн эмчилгээ

Тамхидалт,  тамхинд донтох өвчнийг бууруулахад анхаарах зарим нэгэн хүчин зүйлс:

-Хүмүүст тамхи, тамхинд донтох өвчний тухай мэдлэг боловсролыг бүх шатанд олгох.
-Эмч, эмнэлгийн ажилтан бүрийн мэдлэг хандлагыг дээшлүүлэх.
-Мэргэжлийн эмч нарын хүрэлцээг нэмэгдүүлэх.
-Сурталчилгааг хангалттай хийх.
-Сургалтын материал, гарын авлага бэлтгэж тараах.
-Тамхинаас гарсан хүмүүсийг дэмждэг систем бий болгох.
-Тамхинаас гаргах эм бэлдмэлийг хүртээмжтэй болгох.
-Тамхинаас гаргах эм бэлдмэлийн үнийг зохицуулах.
-“Тамхигүй орчин” бүрдүүлсэн байгууллага, хамт олныг дэмжиж урамшуулах, сурталчлах

Тамхи татах хорхой дарах 6 “З”-ийн зарчим:

1. Зарлах: Би тамхи татахгүй, тамхийг бүрмөсөн хаяхаар шийдсэн гэж өөртөө болон нөхдөдөө давтан хэл
2. Зайлсхий: 10 минут хүлээ. Ихэнх хүсэл хорхой 3-5 минут л үргэлжилнэ.
3. Зөв амьсгал: хоёр юм уу, гурван удаа гүн амьсгалахад та тайвширна.
4. Зөвхөн ус уу: Нэг, хоёр аяга усыг маш аажмаар шимж уу.
5. Завгүй байх: Явган яв. Хэн нэгэнтэй ярь, тайвшир, бохь зажил, өөр дуртай зүйлээ хий.
6. Залбир, сүсэглэ. Өөрийн дотоод сэтгэлээсээ тусламж хай.

Тамхиа хаясны ач холбогдол:

-Эрүүл мэндийн асар их ач холбогдолтой.
-Тамхиа хаяснаас нас даруй 10-15 жилээр уртсана.
-Амьсгалын замын өвчлөл эрс буурна
-Хавдрын эрсдэл мэдэгдэм буурна
-Зүрхний шигдээсийн эрсдэл 50% буурна
-Дотны хүмүүсийн эрүүл мэнд сайжирна.
-Эдийн засгийн боломж нэмэгдэнэ.
-Гоо сайхан сэргэнэ.
-Гал түймрийн эрсдэл багасна.
-Орчны бохирдолт багасна.
-Бусдад эерэг дуурайл болно.

ТАМХИГҮЙ ОРЧИН БҮРДҮҮЛЭХ ТАЛААР:

ДЭМБ-ын мэдээлснээр ажлын байранд тамхины утаанд өртсөнөөс жил бүр 200,000 ажилчид нас барах шалтгаан болсон. Европын холбооны нэгдсэн улсад 2002 оны байдлаар 80,000 хүн дам тамхидалтын улмаас нар баржээ. АНУ-д тамхи татдаггүй 3000 хүн жилд уушигны хорт хавдраас болж нас бардаг ба нэг сая хүүхэд уушигны багтраа өвчинд нэрвэгдсэн байна.

Манай улсад таван хүн тутмын дөрөв нь ажлын байранд болон гэртээ тамхи татдаг хүнтэй хамт амьдарч байна.

Тамхигүй орчинг нэн тэргүүнд:

-Эрүүл мэндийн байгууллагууд
-Боловсролын бүх шатны байгууллагууд
-Төрийн болон төрийн бус байгууллагууд
-Ресторан, баар, цэнгээний газрууд
-Үзвэр үйлчилгээний газрууд
-Нийтийн тээврийн хэрэгсэл
-Төрийн болон ТББ–ууд зэрэг үйлчилгээний бүх байгууллагууд ажлын байранд бүрдүүлэх шаардлагатай.

Тамхигүй орчин бүрдүүлэх нь яагаад чухал вэ? 

1.Дам тамхидалтаас үүсдэг олон өвчнүүдээс сэргийлдэг.
2.100% тамхигүй орчин бүрдлүүлбэл ажиллагсдыг ажлын байранд тамхины утаанд өртөж, хордох аюулаас хамгаална.
3.Хүн бүр тамхины утаагүй цэвэр агаараар амьсгалах эрхтэй.
4.Дэлхийн ихэнх хүмүүс тамхи татдаггүй бөгөөд тамхи татдаг хүмүүсийн тамхины утаанд өртөж хордохгүй болно.

Тамхи ба нийгэм, эдийн засагт учруулах хор уршиг: 

-Өндөр хөгжилтэй орнуудын эрүүл мэндийн нийт төсвийн ойролцоогоор 6-15%-ийг тамхинаас үүдэлтэй өвчний эмчилгээнд  зарцуулдаг байна.
-Хувь хүн болон гэр бүлийг ядууралд хүргэнэ.
-Улс орны эдийн засагт асар их хохирол учруулдаг
-Ядуу гэр бүл орлогынхоо ихэнхийг тамхинд зарцуулдаг. ДЭМБ-ын судалгаагаар Бангладешт ядуу өрхүүд хүнсэнд зарцуулдаг мөнгөнөөсөө 10 дахин их мөнгийг тамхинд зарцуулдаг байна. Энэ мөнгөө хүнсэнд зарцуулбал өлсгөлөн байгаа 10.5 сая хүнийг хооллоход хангалттай хүрэлцэнэ гэж тооцоолсон байна.

Манай оронд:

-Тамхи татдаг оюутан залуус гэхэд дунджаар хагас жилийн сургалтын төлбөрийн 1/3–тэй тэнцэх мөнгийг тамхи худалдан авч өөрийгөө болон дотны хүмүүсээ хордуулахад зарцуулдаг байна.
-Тамхийг хувь хүн болон гудамж, сургуулийн ойролцоо зэрэг газруудад байрлаж байгаа ТҮЦ, дэлгүүрүүд насанд хүрээгүй хүүхдүүд, өсвөр насныханд ямар ч хяналтгүй ширхэглэн худалддаг нь тамхичдын тоо жил бүр өсөж, нас залуужиж байгаад нөлөөлж байна.
-Манай тамхичдын 45% нь хайрцаг тамхинд дунджаар 800 төгрөг зарцуулдаг бөгөөд өдөрт нэг хайрцаг тамхи татдаг хүмүүс 10 жилд зөвхөн тамхи худалдан авахад зориулж гурван сая төгрөгийг ямар ч үр ашиггүй зардаг байна.
-Өрхийн доторх тамхи татдаг хүний тооноос хамаарч нэг өрх сар бүр өрхийн орлогынхоо 1-2%-ийг тамхинд зарцуулж байна гэсэн судалгаа гарчээ.
-Тамхиа хаявал энэ мөнгийг эрүүл мэнд, хоол гэх мэт хэрэгцээтэй зүйлд зарцуулж болохоор байна.

Тамхинаас гарахын тулд юуны өмнө өөрийгөө хэр зэрэг тамхичин болохыг мэдэх хэрэгтэй гэнэ.
Үүнд зориулсан тусгай тест байдаг. 

1. Хэрэв танд хэн нэгэн тамхи өгвөл та хэрхэн хандах вэ?
- Дуртайяа хамт тамхилна — 4
- Хэрэв цаг байвал хамт тамхилна — 1
- Сэтгэл санаа тааруухан байвал авч хамт тамхилна — 2
- Хэрэв миний татдаг тамхи байвал тамхилна — 3
- Хэрэв хамт олонтойгоо хамт баар цэнгээний газарт байгаа тохиолдолд тамхилна —5

2. Хэн танд анх тамхи өгсөн бэ?
- Ямар нэг баяр ёслолын үед шиг санаж байна — 5
- Би өөрөө анх тамхи татсан -4
- Найз нөхөд – 1
- Танил маань — 2
- Аль дээр үед зүгээр л сонирхож — 3

3. Танд тамхи татсаны дараа ямар сэтгэгдэл төрдөг вэ?
- Тайвширдаг — 2
- Онц зүйл мэдрэгддэггүй – 4
- Сэргэдэг — 3
- Ажиллах чадвартай болдог -5
- Хамт тамхи татаж байгаа хүмүүс анд нөхөд шиг санагддаг – 1

4. Бусад тамхичдад та хэрхэн ханддаг вэ?
- Тайван ханддаг – 3
- Би тэднийг тамхинаас гарах сонирхолтой боловч чаддаггүй гэж боддог — 4
- Тамхи татдаг хүмүүс бусдаас найзархаг нөхөрсөг хүмүүс байдаг гэж боддог — 1
- Би тэднийг эрүүл мэндээ хохироож байна гэж боддог -2
- Тэд их гоё тансаг харагддаг – 5

5. Танд тамхийг юу орлож чадах вэ?
- Тамхинаас өөр юу ч орлож чадахгүй – 3
- Хундага сайн дарс — 5
- Сонирхолтой ажил – 4
- Тамхи татдаггүй танилтайгаа хамт байвал – 1
- Архидвал — 2

6. Тамхи татдагаа та хэрхэн зөвтгөдөг вэ?
- Энэ хамгийн сүүлчийн тамхи гэж дандаа боддог — 4
- Миний тамхи татах хэнд хамаатай юм бэ? – 5
- Бүгд татаж байхад би яагаад болохгүй гэж – 1
- Тамхи татах нь сэтгэл санааг бага ч гэсэн тайвшруулдаг — 2
- Би ийм л хувь заяатай юм байгаа биз – 3

7. Та тамхины хорны тухай юу мэдэх вэ?
- Энэ тухай бодохгүй байсан нь дээр гэж боддог – 3
- Над шиг бага татдаг хvнд хор нь бага байдаг — 5
- Тамхи өмөн үү үүсгэгч болдог гэдгийг мэднэ — 1
- Тамхины хорны тухай бишгүйдээ л нэг уншсан — 4
- Мэдээж тамхи татах нь хортой. Гэхдээ би тамхи татахдаа энэ тухай боддоггүй -2

8. Тамхины эсрэг сурталчилгааг та юу гэж боддог вэ?
- Таатай. Учир нь хэн нэгэнд тус болно гэж боддог – 4
- Энэ нь ямар ч ашиггүй vйл ажиллагаа – 3
- Энэ нь зөв боловч үр дүн багатай ажил – 1
- Энэ бүхэн нь тун зөв. Гэхдээ надад ямар нэгэн нөлөө огт үзүүлдэггүй – 2
- Тамхи татах нь ямар тааламжтай байдгийг мэддэггүй хvмvvс л ийм сурталчилгаа явуулдаг – 5

9. Та тамхиа хаяя гэж бодож байсан уу?
- Мэдээж нэг бус удаа. Гэвч тамхиа хаяж чадаагүй – 2
- Бодохоор барахгvй хаяж байсан. Гэвч дахиад л тамхинд орсон – 4
- Тэгж огт бодож байгаагүй -5
- Боддог байсан ч тамхиа татаж л байсан – 3
- Боддог байсан. Гэхдээ ямар ч нэмэр болоогүй. — 1

10. Танд тамхи хаях чадвар хэр зэрэг байна вэ?
- Мэдэхгүй юм- 1
- Байхгүй байх – 2
- Байгаа. Гэвч. одоохондоо тамхи хаях гэж оролдоогүй байна – 3
- Даан ч надад тийм чадвар байхгүй юм билээ – 4
- Мэдээж байгаа – 5

Дүн: 

0-10 оноо: Та ганцаар байхдаа бараг тамхи татдаггүй юм байна. Та найз нөхөдтэйгөө тамхи татах нь тэдэнтэй ойр байх арга биш гэдгийг ойлгож энэ муу зуршлаасаа хурдан салах л хэрэгтэй.

11-20 оноо: Та ихэвчлэн сэтгэл тогтворгүй vедээ тамхи татдаг юм байна. Никотин мэдрэлийг зөвхөн 5%-иар л сайжруулдаг. Харин бохь болон бусад хортой бодис таны бие эрхтэнг хамаагүй илүүтэй хордуулж байдаг гэдгийг анхаарч тамхи татахгvй байж сурах хэрэгтэй.

21-30 оноо: Та тамхинд ихээхэн орсон юм байна. Иймээс тамхинаас гарна гэдэг таны хувьд амаргүй байх болно. Гэхдээ хамгийн гол нь та тамхинаас гарна гэдгийг үнэн голоосоо хүсэх хэрэгтэй. Ингээд та тамхины оронд биеийн тамираар хичээллэвэл хvссэн үр дүнд хүрэх болно.

31-40 оноо: Та үнэхээр их зав чөлөөтэй хүн юм. Иймд өөрийгөө аль болох завгүй байлгахад анхаарах хэрэгтэй. Мэдээж мэргэжлийн эмчид хандахад илүүдэхгүй.

41-50 оноо: Таныг тамхи эрүүл мэндэд ямар хортой болохыг ганц удаа ч гэсэн бодож байсан гэхэд эргэлзмээр байна. Иймд таныг мэргэжлийн эмчид хандахыг зөвлөж байна.

Сэтгэгдэл ( 0 )

Сэтгэгдэл бичихдээ хууль зүйн болон ёс суртахууны хэм хэмжээг хүндэтгэнэ үү. Хэм хэмжээг зөрчсөн сэтгэгдэлийг админ устгах эрхтэй.
Top