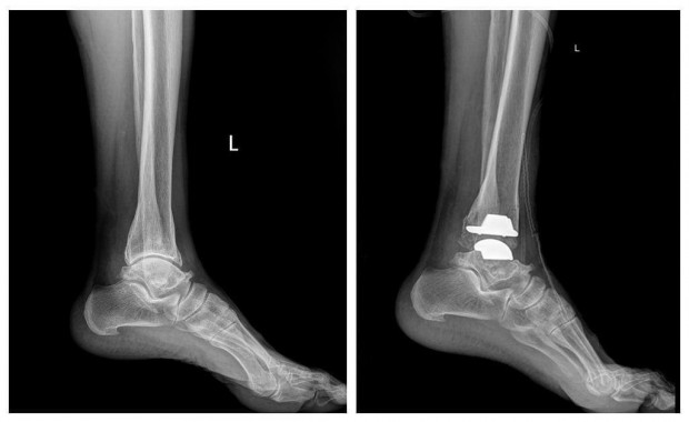
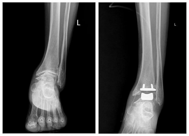
Гэмтэл согог судлалын үндэсний төвийн Насанд хүрэгсдийн мэс заслын тасгийн эмч, мэргэжилтнүүд шагайн хиймэл үе солих мэс засал эмчилгээг эх орондоо амжилттай нутагшууллаа.
ГССҮТ-ийн Насанд хүрэгсдийн мэс заслын тасгийн их эмч Ш.Баасансүрэнгээр ахлуулсан, тус тасгийн эрхлэгч Б.Баатаржав, Г.Бадамгарав нарын мэс заслын баг бүрэлдэхүүн шагайн үений хүнд хэлбэрийн артроз өөрчлөлтийн үед хиймэл үе суулгах мэс заслыг хийж, орчин үеийн дэвшилтэт мэс засал эмчилгээг тусламж үйлчилгээнд бүрэн нэвтрүүлээд байна.
Тус тасгийн хамт олон 2022 оны арваннэгдүгээр сард БНСУ-ын “Йонсей Гунвоо” эмнэлгийн захирал Eui Hyun Park болон бусад эмч, мэргэжилтнүүдтэй хамтран Монголд анх удаа шагайн хиймэл үе солих мэс заслыг хийсэн бөгөөд 2023 оны арванхоёрдугаар сараас эхлэн энэхүү мэс засал эмчилгээг бие даан амжилттай хийж буй юм.
Шагайн үений хүнд хэлбэрийн артроз өөрчлөлтийн үед хиймэл үе суулгах мэс заслыг Монголд нутагшуулснаар энэ төрлийн шалтгаант өвчлөл, зовиураар шаналж буй иргэд үйлчлүүлэгчид олон улсын стандартыг хангасан тусламж үйлчилгээг эх орондоо, бага зардлаар илүү хялбар, чанар хүртээмжтэй авах, амьдралын чанараа дээшлүүлэх зэрэг таатай боломж бүрдэж байна.

Сэтгэгдэл ( 0 )